ಜನರು ತಮ್ಮ ತ್ವಚೆ ಹಾಗೂ ಕೂದಲಿಗೆ ಅನುಗುಣವಾಗಿ ಶಾಂಪೂ, ಕ್ರೀಮ್, ಅಥವಾ ಎಣ್ಣೆಗಳನ್ನು ಆಯ್ಕೆ ಮಾಡಿಕೊಳ್ಳುತ್ತಾರೆ. ಆದರೆ ಹಲ್ಲುಗಳ ಬಗ್ಗೆ ಹೆಚ್ಚಿನವರು ಯಾರು ಗಮನಕೊಡುವುದಿಲ್ಲ. ನಮಗೆ ಯಾವುದೇ ಚಂದ ಕಾಣುತ್ತೋ ಆ ಟೂತ್ಪೇಸ್ಟ್ ಬಳಸುತ್ತೇವೆ ಅಷ್ಟೇ. ಪ್ರತಿಯೊಬ್ಬರ ಹಲ್ಲುಗಳೂ ವಿಭಿನ್ನವಾಗಿರುತ್ತವೆ. ಮತ್ತು ಅದಕ್ಕೆ ಪೂರಕವಾದ ಟೂತ್ಪೇಸ್ಟ್ ಆಯ್ಕೆ ಮಾಡುವುದು ಅತ್ಯಗತ್ಯ.
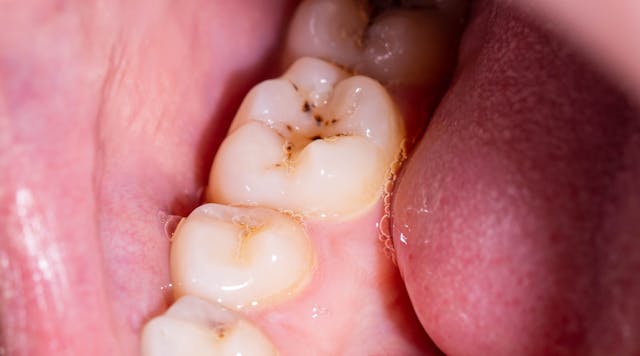
ಹುಳುಕು ಹಲ್ಲು ಸಮಸ್ಯೆ ಇದ್ದರೆ(For Tooth Decay Problems)
ಇಂಥವರಿಗೆ ಸೋಡಿಯಂ ಫ್ಲೋರೈಡ್ ಇರುವ ಟೂತ್ಪೇಸ್ಟ್ ಉಪಯುಕ್ತ. ಇದು ಹಲ್ಲುಗಳ ಮೇಲಿನ ಇನಾಮೆಲ್ನ್ನು ಬಲಪಡಿಸಿ, ಹುಳುಕಿನಿಂದ ರಕ್ಷಿಸುತ್ತದೆ. ಆದರೆ ಈ ಪೇಸ್ಟ್ ಮಕ್ಕಳಿಗೆ ಸುರಕ್ಷಿತವಲ್ಲ, ಅವರು ನುಂಗುವ ಸಾಧ್ಯತೆ ಇದ್ದು ಆರೋಗ್ಯ ಸಮಸ್ಯೆ ಉಂಟಾಗಬಹುದು.

ತೀವ್ರ ಸಂವೇದನೆಯಿಂದ ಬಳಲುವವರು (Sensitivity)
ಬಿಸಿ ಅಥವಾ ತಣ್ಣನೆಯ ಆಹಾರ ಸೇವಿಸಿದಾಗ ಹಲ್ಲುಗಳಲ್ಲಿ ನೋವು ಅನುಭವಿಸುವವರು ಡಿಸೆನ್ಸಿಟೈಸಿಂಗ್ ಟೂತ್ಪೇಸ್ಟ್ ಬಳಸಬೇಕು. ಇದರಿಂದ ಬಿಸಿ ಅಥವಾ ತಣ್ಣನೆಯ ವಸ್ತುಗಳನ್ನು ತಿಂದರೂ ಇದು ಹಲ್ಲುಗಳಿಗೆ ನೋವುಂಟು ಮಾಡುವುದಿಲ್ಲ.

ಒಸಡು ನೋವು ಮತ್ತು ರಕ್ತಸ್ರಾವ (For Gum Pain and Bleeding)
ಇಂಥ ಸಮಸ್ಯೆಗಳನ್ನು ಅನುಭವಿಸುವವರು ಆಂಟಿ-ಜಿಂಗೈವಿಟಿಸ್ ಟೂತ್ಪೇಸ್ಟ್ ಬಳಸಬೇಕು. ಈ ಟೂತ್ಪೇಸ್ಟ್ ಗಮ್ಗಳ ಸೋಂಕುಗಳನ್ನು ನಿಯಂತ್ರಿಸಿ, ಆರೋಗ್ಯಕರವಾದ ಒಸಡುಗಳನ್ನು ಕಾಪಾಡಲು ಸಹಾಯಮಾಡುತ್ತದೆ.

ಪ್ಲೇಕ್ ಮತ್ತು ಬ್ಯಾಕ್ಟೀರಿಯಾ ಸಮಸ್ಯೆ(For Plaque and Bacteria Control)
ಪ್ಲೇಕ್ನಿಂದ ಬಳಲುವವರು ಅಥವಾ ಬಾಯಿಯ ದುರ್ವಾಸನೆ ಅನುಭವಿಸುವವರು ಟಾರ್ಟರ್ ಕಂಟ್ರೋಲ್ ಟೂತ್ಪೇಸ್ಟ್ ಆಯ್ಕೆ ಮಾಡಬಹುದು. ಇದು ಬ್ಯಾಕ್ಟೀರಿಯಾವನ್ನು ಕಡಿಮೆ ಮಾಡಿ ಬಾಯಿ ಸ್ವಚ್ಛತೆ ಮತ್ತು ತಾಜಾತನವನ್ನು ಹೆಚ್ಚಿಸುತ್ತದೆ.

ಯಾವುದೇ ಸಮಸ್ಯೆಯಿಲ್ಲದವರು(For Healthy Teeth Without Issues)
ಹೆಚ್ಚು ಆರೋಗ್ಯಕರ ಹಲ್ಲು ಹೊಂದಿರುವವರು ವೈಟ್ ನಿಂಗ್ ಟೂತ್ಪೇಸ್ಟ್ ಬಳಸಬಹುದು. ಇದು ಹಲ್ಲುಗಳ ಬುಳುಪನ್ನು ಹೆಚ್ಚಿಸಿ ನಗು ಆಕರ್ಷಕವಾಗಿಸುತ್ತದೆ.

ಹಾಗಾಗಿ, ಎಲ್ಲರೂ ಒಂದೇ ರೀತಿಯ ಟೂತ್ಪೇಸ್ಟ್ ಬಳಸಬೇಕು ಎಂಬ ಭ್ರಮೆಯಿಂದ ಹೊರಬಂದು, ತಜ್ಞರು ಹೇಳುವಂತೆ, ತಮಗೆ ಹೊಂದಿಕೆಯಾಗುವ ಟೂತ್ಪೇಸ್ಟ್ ಆಯ್ಕೆ ಮಾಡುವುದು ಹಲ್ಲುಗಳ ದೀರ್ಘಕಾಲದ ಆರೋಗ್ಯಕ್ಕೆ ಪೂರಕವಾಗಿದೆ. ಯಾವುದೇ ಗಂಭೀರ ಸಮಸ್ಯೆ ಕಂಡುಬಂದರೆ, ತಕ್ಷಣ ದಂತಚಿಕಿತ್ಸಕರನ್ನು ಸಂಪರ್ಕಿಸುವುದು ಉತ್ತಮ.

